File:A - 20H-531 H&E X200 B.jpg
From EyeWiki
Size of this preview: 800 × 600 pixels. Other resolution: 1,600 × 1,200 pixels.
Original file (1,600 × 1,200 pixels, file size: 552 KB, MIME type: image/jpeg)
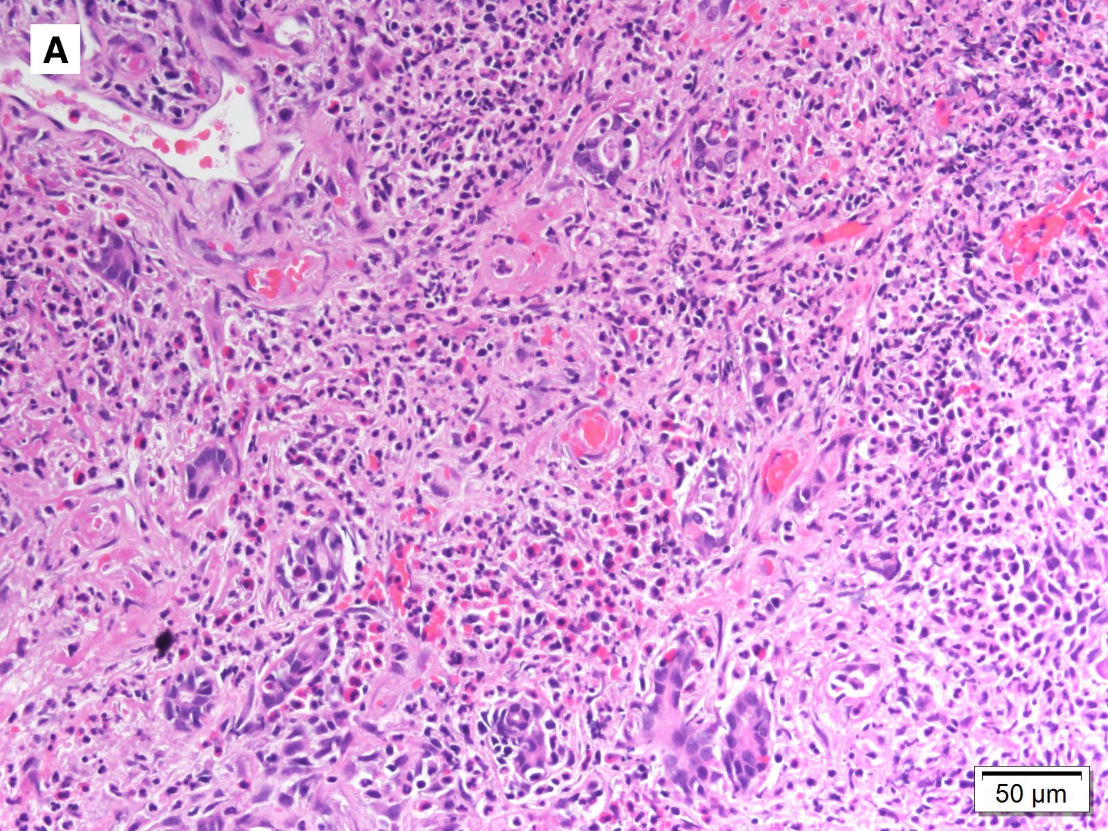
Histopathologic examinations of angiolymphoid hyperplasia with eosinophilia that reveals fibrovascular tissue infiltrated with chronic inflammatory cells and abundance of plasma cells. Also, hyperplasia of the small arterioles and venules surrounded by numerous eosinophils; hematoxylin–eosin stain.
File history
Click on a date/time to view the file as it appeared at that time.
| Date/Time | Thumbnail | Dimensions | User | Comment | |
|---|---|---|---|---|---|
| current | 03:23, November 3, 2023 | 1,600 × 1,200 (552 KB) | Abdulrahman.Alfarhan (talk | contribs) |
You cannot overwrite this file.
File usage
The following page uses this file:

