File:Fig. 1C - conj combined nevus path 2.jpg
From EyeWiki
Fig._1C_-_conj_combined_nevus_path_2.jpg (636 × 477 pixels, file size: 134 KB, MIME type: image/jpeg)
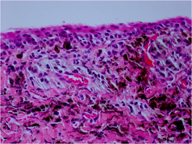
Figure 1C: The cells exhibit unsuspicious nucleoli and are surrounded by pigment-laden macrophages.
File history
Click on a date/time to view the file as it appeared at that time.
| Date/Time | Thumbnail | Dimensions | User | Comment | |
|---|---|---|---|---|---|
| current | 18:41, March 2, 2011 | 636 × 477 (134 KB) | Martina.C.Herwig (talk | contribs) | Figure 1C: The cells exhibit unsuspicious nucleoli and are surrounded by pigment-laden macrophages. |
You cannot overwrite this file.
File usage
The following page uses this file:


