File:Figure 7 External Limiting Membrane and Ellipsoid Zone Disruption.jpg
From EyeWiki
Size of this preview: 800 × 388 pixels. Other resolution: 2,312 × 1,120 pixels.
Original file (2,312 × 1,120 pixels, file size: 536 KB, MIME type: image/jpeg)
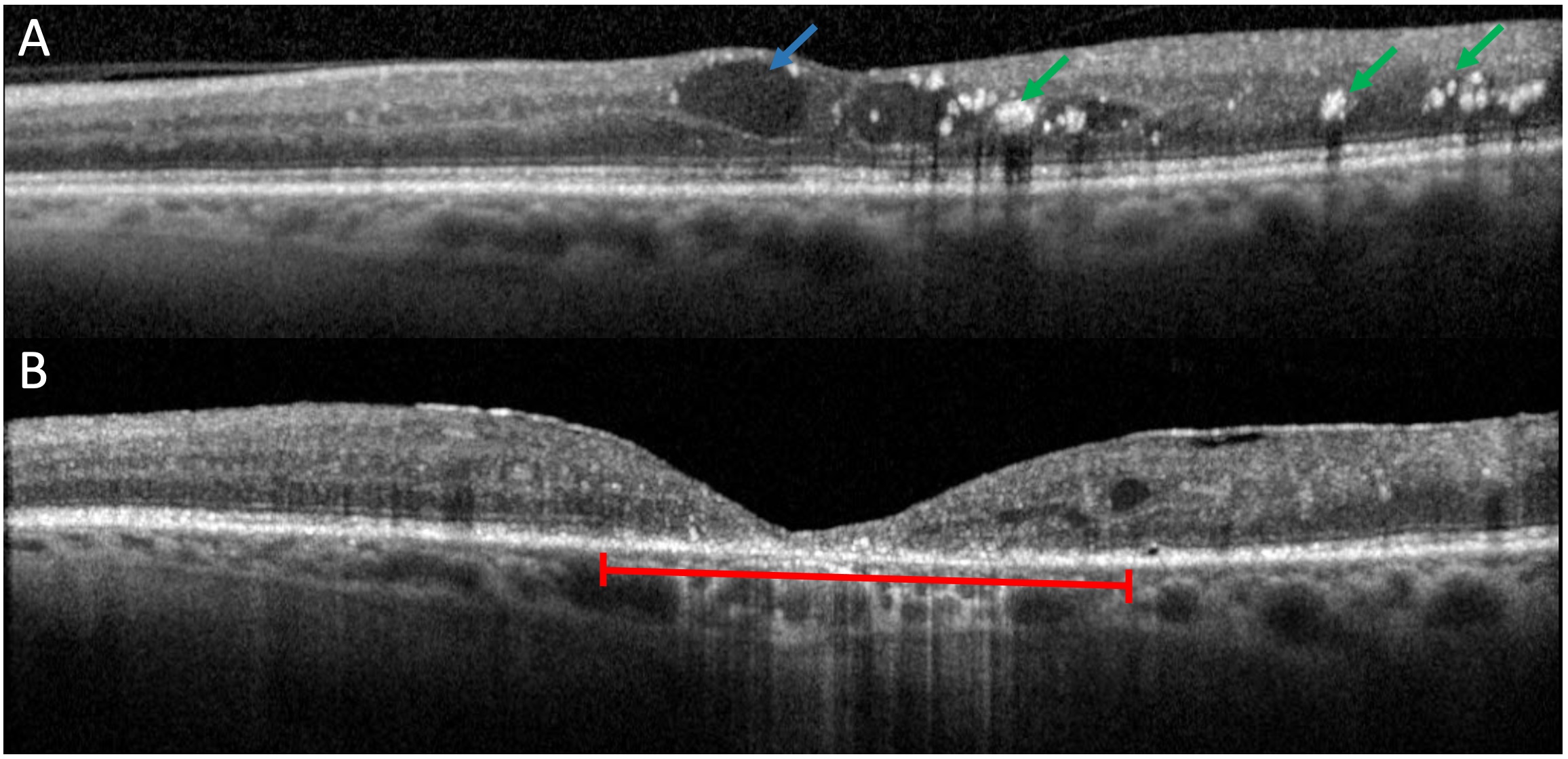
A: DME with large cystic spaces (blue arrow) and exudates (green arrows). Despite anti-VEGF treatment, DME persisted. The EZ and ELM were still intact, with BCVA of 20/32. B: Five years after photo A, extensive ELM and EZ disruption (red bracket) developed which involved the fovea. A few chronic parafoveal cysts can still be seen. BCVA dropped to 20/63.
File history
Click on a date/time to view the file as it appeared at that time.
| Date/Time | Thumbnail | Dimensions | User | Comment | |
|---|---|---|---|---|---|
| current | 12:01, February 23, 2022 | 2,312 × 1,120 (536 KB) | Cris.Jacoba (talk | contribs) |
You cannot overwrite this file.
File usage
The following page uses this file:

