File:Sub periosteal heamatoma.png
From EyeWiki
Sub_periosteal_heamatoma.png (489 × 400 pixels, file size: 255 KB, MIME type: image/png)
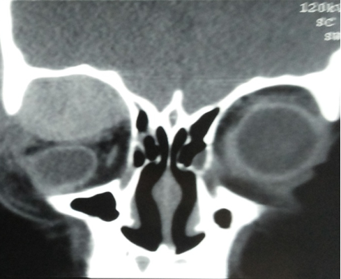
Coronal non contrast CT of right orbit showing well defined high attenuation sub periosteal hematoma indenting and displacing the globe inferiorly.
File history
Click on a date/time to view the file as it appeared at that time.
| Date/Time | Thumbnail | Dimensions | User | Comment | |
|---|---|---|---|---|---|
| current | 15:53, June 1, 2021 | 489 × 400 (255 KB) | SAHIL.AGRAWAL (talk | contribs) |
You cannot overwrite this file.
File usage
The following page uses this file:


