Peripapillary Intrachoroidal Cavitation
All content on Eyewiki is protected by copyright law and the Terms of Service. This content may not be reproduced, copied, or put into any artificial intelligence program, including large language and generative AI models, without permission from the Academy.
Disease Entity
Peripapillary intrachoroidal cavitation.
Disease
Peripapillary intrachoroidal cavitation (PICC) is a recently described lesion usually found at the inferior border of the peripapillary conus in highly myopic eyes. Its first mention dates back to the early 2000’s when Freund et al., using optical coherence tomography (OCT), described a localized detachment of the retinal pigment epithelium (RPE) and retina.[1] Therefore, it was initially referred as peripapillary detachment in pathologic myopia (PDPM). Toranzo et al., benefitting from advances in OCT technology, subsequently realized that this abnormality was actually located inside the choroid and that the underlying RPE and retina were normal, leading them to rename the lesion a peripapillary intrachoroidal cavitation, or PICC.[2]
On ophthalmoscopic examination, it generally appears like a well-defined, yellowish lesion located inferiorly along the border of the myopic crescent.[1]
Epidemiology
The exact prevalence of PICC is unknown at present. In the cohort considered by Choudhury et al., PICC had a prevalence ranging from 2,2% (all levels of myopia taken together) to 22% (when considering only high myopic patients).[3] It was respectively identified in 4,9% and 16,9% of highly myopic eyes in Shimada’s [4] and You’s [5] studies.
This high variability in prevalence values may be attributed to the different diagnostic means and criteria used in these works, in which the study populations were not homogenous either. Taking these considerations into account, the actual prevalence of PICC is estimated to lie between 5 and 17% in highly myopic eyes.[6]
Risk Factors
Interest in PICC is quite new and the limited literature relating thereto does not allow to formally identify its specific risk factors.
High myopia appears to be the main predisposing factor. There is also a correlation between the prevalence of co-existing myopia-related retinal lesions (such as lacquer cracks, patchy atrophy, tessellation), structural modifications (like posterior staphyloma) or optic disc changes (including tilted disc) and the occurrence of PICC.[4][5] But while PICC is generally described in pathologic myopia, non-myopic eyes can also be affected. [7] [8]
Older age seems to be a contributing factor as well.[4] [9]
Etiology
The exact etiopathogenesis of PICC is unclear.
Freund et al. initially suggested that, seen its location at the inferior border of the disc, it could be related to an early eye development anomaly and likened to an incomplete form of choroidal coloboma.[10] However, as PICC has not been described in children and can also develop in other locations, the congenital hypothesis has been abandoned.
It was proposed by Toranzo et al. that PICCs were the result of a choroid retraction away from the optic disc margin following a break in the border tissue of Elschnig during staphyloma progression in myopic eyes.[2] Wei et al. added that after the stretching and disruption of the border tissue at the edge of the myopic conus secondary to peripapillary staphyloma (PPS) progression, vitreous fluid could gain access into the choroid, creating a fluid pocket.[11] Additionally, studies using enhanced depth imaging demonstrated how PICC could occur by a mechanism of posterior scleral bowing, without retinal or RPE distortions, implying that PICC rather results from a posterior scleral movement and not an anterior retinal and RPE displacement.[12]
It is commonly accepted that PICC probably finds its origin in biomechanical processes occurring around the optic nerve head (ONH). Highly myopic eyes may be more affected because of their overall thinner peripapillary tissues,[13] rendering them more prone to deformations during intraocular pressure (IOP) fluctuations [14] or horizontal eye movements.[15] The study of Lee et al., who found that both abduction and adduction induced significant morphologic changes in the ONH, positively correlated with axial length (AL), supports this theory.[16]
Recent works suggest that the combination of gamma peripapillary atrophy (gamma PPA) and a PPS is critical to PICC formation, a posterior scleral distortion secondary to the traction of the dura mater being a possible determinant element.[17]
Diagnosis
Symptoms
PICC in itself is asymptomatic and is usually incidentally detected.[1]
Clinical Diagnosis
On fundus examination, PICC generally appears like a well-defined, yellow-orange lesion located inferiorly along the border of the myopic crescent.[1] Stereoscopic color fundus photographs may help in its detection (see Picture 1).
Diagnostic Procedures
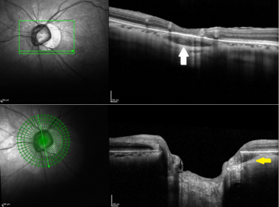
Optical coherence tomography (OCT)
On OCT, PICC appear as intrachoroidal hyporeflective areas situated below the normal plane of RPE,[2] [8] accompanied by a posterior outbowing of the sclera [12] (see Picture 2). Spaide et al. were even more specific in saying that in eyes with no inner retinal defect at the inferior border of the tilted optic disk, PICC could be described as triangular thickenings of the choroid with their base at the border of the optic nerve.[5] [12]
OCT is more sensible than fundus pictures in PICC screening: indeed, only 46,7% to 53% of PICC documented on OCT sections are also detected on fundus examination.[5] [8]
OCT angiography (OCTA)
It has been shown that highly myopic eyes with PICC had significantly lower peripapillary vessel densities on OCTA, especially in the temporal area, compared to those without.[18] In a case report, OCTA even demonstrated the absence of choroidal and choriocapillaris network in the area corresponding to the PICC.[19] See picture 3.
Fluoroscein angiography (FA) and Indocyanine Green Angiography (ICGA)
On FA, PICC shows early hypofluorescence with progressive late staining, without any dye pooling. On ICGA, hypofluorescence of the lesion throughout the entire sequence is expected.[20] [21]
Visual field (VF) testing
PICC is associated with VF defects in up to 73,3% of cases,[4] [20] [22] and these alterations can mimic early glaucoma.[22] Whether there is a correlation between PICC location and the distribution of VF defects is still controversial.[4] [22] [23]
Differential diagnosis
The differential diagnosis for PICC includes:[10] [24]
•Optic disc anomalies: mainly optic pit, but also optic disc drusen, morning glory syndrome, optic disc hypoplasia, dysplastic discs, coloboma
•Choroidal tumors
•Causes of serous pigmentary epithelium and/or neurosensory retinal detachment: myopic and age-related macular degeneration (ARMD), choroidal neovascularization (CNV), retinoschisis, central serous chorioretinopathy
Management
Prognosis
PICC are considered nonprogressive entities and are not associated with visual changes through time.[10] The prognosis of eyes with PICC is thus mainly related to their associated degree of myopia and myopic complications.
Complications
Some case reports have been published, suggesting that PICC could promote retinoschisis,[25] [26] macular detachment [25] [27] [28] and the formation of macular holes.[29] As these complications are also linked to pathologic myopia, it is though difficult to assess the exact involvement of PICC and the chronology of the damages.
Medical and surgical therapy
As PICC is asymptomatic and tends to stay stable through time, no active intervention is indicated in their management. However, its recognition is important so that it is not confused with other fundus abnormalities which potentially necessitate further investigation (including ARMD, CNV, and tumors).[1] It is also important to verify its presence in case of VF defects, so that the differential diagnosis with glaucoma can be assessed.
Surgery could be required in case of complications related to the pathologic myopia generally combined with the presence of PICC such as retinal detachment, CNV, and retinoschisis.
References
- ↑ 1.0 1.1 1.2 1.3 1.4 Freund KB, Ciardella AP, Yannuzzi LA, Pece A, Goldbaum M, Kokame GT, Orlock D. Peripapillary detachment in pathologic myopia. Arch Ophthalmol. 2003 Feb;121(2):197-204. doi: 10.1001/ archopht.121.2.197.
- ↑ 2.0 2.1 2.2 Toranzo J, Cohen SY, Erginay A, Gaudric A. Peripapillary intrachoroidal cavitation in myopia. Am J Ophthalmol. 2005 Oct;140(4):731-2. doi: 10.1016/j.ajo.2005.03.063.
- ↑ Choudhury F, Meuer SM, Klein R, Wang D, Torres M, Jiang X, McKean-Cowdin R, Varma R; Chinese American Eye Study Group. Prevalence and Characteristics of Myopic Degeneration in an Adult Chinese American Population: The Chinese American Eye Study. Am J Ophthalmol. 2018 Mar;187:34-42. doi: 10.1016/j.ajo.2017.12.010.
- ↑ 4.0 4.1 4.2 4.3 4.4 Shimada N, Ohno-Matsui K, Yoshida T, Yasuzumi K, Kojima A, Kobayashi K et al. Characteristics of peripapillary detachment in pathologic myopia. Arch Ophthalmol 2006; 124(1): 46–52. doi: 10.1001/archopht.124.1.46.
- ↑ 5.0 5.1 5.2 5.3 You QS, Peng XY, Chen CX, Xu L, Jonas JB. Peripapillary intrachoroidal cavitations. The Beijing eye study. PLoS One. 2013 Oct 24;8(10):e78743. doi: 10.1371/journal.pone.0078743.
- ↑ Ehongo A, Hasnaoui Z, Kisma N, Alaoui Mhammedi Y, Dugauquier A, Coppens K, Wellens E, de Maertelaere V, Bremer F, Leroy K. Peripapillary intrachoroidal cavitation at the crossroads of peripapillary myopic changes. Int J Ophthalmol. 2023 Dec 18;16(12):2063-2070. doi: 10.18240/ijo.2023.12.20. PMID: 38111938; PMCID: PMC10700091.
- ↑ Pichi F, Sarraf D. Optically empty choroidal spaces in high hyperopia. Retin Cases Brief Rep. 2021 Mar 1;15(2):145-148. doi: 10.1097/ICB.0000000000000799.
- ↑ 8.0 8.1 8.2 Yeh SI, Chang WC, Wu CH, Lan YW, Hsieh JW, Tsai S, Chen LJ. Characteristics of peripapillary choroidal cavitation detected by optical coherence tomography. Ophthalmology. 2013;120:544–52.
- ↑ Liu R, Li Z, Xiao O, Zhang J, Guo X, Loong Lee JT, Wang D, Lee P, Jong M, Sankaridurg P, He M. Characteristics of peripapillary intrachoroidal cavitation in highly myopic eyes: The Zhongshan Ophthalmic Center-Brien Holden Vision Institute High Myopia Cohort Study. Retina. 2021 May 1;41(5):1057-1062. doi: 10.1097/IAE.0000000000002963.
- ↑ 10.0 10.1 10.2 Freund KB, Ciardella AP, Yannuzzi LA, Pece A, Goldbaum M, Kokame GT, Orlock D. Peripapillary detachment in pathologic myopia. Arch Ophthalmol. 2003 Feb;121(2):197-204. doi: 10.1001/archopht.121.2.197.
- ↑ Wei YH, Yang CM, Chen MS, Shih YF, Ho TC. Peripapillary intrachoroidal cavitation in high myopia: reappraisal. Eye (Lond). 2009;23:141–4.
- ↑ 12.0 12.1 12.2 Spaide RF, Akiba M, Ohno-Matsui K. Evaluation of peripapillary intrachoroidal cavitation with swept source and enhanced depth imaging optical coherence tomography. Retina. 2012;32(6):1037–1044.
- ↑ Jonas JB, Jonas SB, Jonas RA, Holbach L, Panda-Jonas S. Histology of the parapapillary region in high myopia. Am J Ophthalmol. 2011 Dec;152(6):1021-1029. doi:10.1016/j.ajo.2011.05.006
- ↑ Tham YC, Aung T, Fan Q, Saw SM, Siantar RG, Wong TY, Cheng CY. Joint Effects of Intraocular Pressure and Myopia on Risk of Primary Open-Angle Glaucoma: The Singapore Epidemiology of Eye Diseases Study. Sci Rep. 2016 Jan 13;6:19320. doi: 10.1038/srep19320. PMID: 26758554; PMCID: PMC4725834.
- ↑ Wang X, Rumpel H, Lim WE, Baskaran M, Perera SA, Nongpiur ME, Aung T, Milea D, Girard MJ. Finite Element Analysis Predicts Large Optic Nerve Head Strains During Horizontal Eye Movements. Invest Ophthalmol Vis Sci. 2016 May 1;57(6):2452-62. doi: 10.1167/iovs.15-18986.
- ↑ Lee WJ, Kim YJ, Kim JH, Hwang S, Shin SH, Lim HW. Changes in the optic nerve head induced by horizontal eye movements. PLoS ONE. 2018; 13(9): e0204069. doi: 10.1371/journal.pone.0204069
- ↑ Ehongo A, Bacq N, Kisma N, Dugauquier A, Alaoui Mhammedi Y, Coppens K, Bremer F, Leroy K. Analysis of Peripapillary Intrachoroidal Cavitation and Myopic Peripapillary Distortions in Polar Regions by Optical Coherence Tomography. Clin Ophthalmol. 2022 Aug 13;16:2617-2629. doi: 10.2147/OPTH.S376597. PMID: 35992567; PMCID: PMC9387167.
- ↑ Chen Q, He J, Hua Y, Fan Y. Exploration of peripapillary vessel density in highly myopic eyes with peripapillary intrachoroidal cavitation and its relationship with ocular parameters using optical coherence tomography angiography. Clin Exp Ophthalmol. 2017 Dec;45(9):884-893. doi: 10.1111/ceo.12986.
- ↑ Mazzaferro A, Carnevali A, Zucchiatti I, Querques L, Bandello F, Querques G. Optical coherence tomography angiography features of intrachoroidal peripapillary cavitation. Eur J Ophthalmol. 2017 Mar 10;27(2):e32-e34. doi: 10.5301/ejo.5000901.
- ↑ 20.0 20.1 Forte R, Pascotto F, Cennamo G, de Crecchio G. Evaluation of peripapillary detachment in pathologic myopia with en face optical coherence tomography. Eye (Lond). 2008 Jan;22(1):158-61. doi: 10.1038/sj.eye.6702666.
- ↑ Azar G, Leze R, Affortit-Demoge A, Faure C. Peripapillary Intrachoroidal Cavitation in Myopia Evaluated with Multimodal Imaging Comprising "En-Face" Technique. Case Rep Ophthalmol Med. 2015;2015:890876. doi: 10.1155/2015/890876.
- ↑ 22.0 22.1 22.2 Okuma S, Mizoue S, Ohashi Y. Visual field defects and changes in macular retinal ganglion cell complex thickness in eyes with intrachoroidal cavitation are similar to those in early glaucoma. Clin Ophthalmol. 2016 Jun 29;10:1217-22. doi: 10.2147/OPTH.S102130.
- ↑ Ehongo A, Dugauquier A, Kisma N, De Maertelaer V, Nana Wandji B, Tchatchou Tomy W, Alaoui Mhammedi Y, Coppens K, Leroy K, Bremer F. Myopic (Peri)papillary Changes and Visual Field Defects. Clin Ophthalmol. 2023 Nov 1;17:3295-3306. doi: 10.2147/OPTH.S404167. PMID: 37933329; PMCID: PMC10625749.
- ↑ Markan A, Jain M, Singh R. Secondary intrachoroidal cavitation in a case of iridofundal coloboma. Med Hypotheses. 2020 Oct;143:110085. doi: 10.1016/j.mehy.2020.110085.
- ↑ 25.0 25.1 Akimoto M, Akagi T, Okazaki K, Chihara E. Recurrent macular detachment and retinoschisis associated with intrachoroidal cavitation in a normal eye. Case Rep Ophthalmol. 2012 May;3(2):169-74. doi: 10.1159/000339292.
- ↑ Yoshizawa C, Saito W, Noda K, Ishida S. Pars plana vitrectomy for macular schisis associated with peripapillary intrachoroidal cavitation. Ophthalmic Surg Lasers Imaging Retina. 2014 Jul-Aug;45(4):350-3. doi: 10.3928/23258160-20140617-03
- ↑ Rajagopal J, H CK 5th, Ganesh S. Macular detachment associated with peripapillary detachment in pathologic myopia. Retin Cases Brief Rep. 2014 Spring;8(2):103-6. doi: 10.1097/ICB.0000000000000014.
- ↑ Ando Y, Inoue M, Ohno-Matsui K, Kusumi Y, Iida T, Hirakata A. Macular detachment associated with intrachoroidal cavitation in nonpathological myopic eyes. Retina. 2015 Oct;35(10):1943-50. doi: 10.1097/IAE.0000000000000575.
- ↑ Örnek N, Örnek K. Full-thickness macular hole with macular intrachoroidal cavitation in a patient with pathologic myopia. Retin Cases Brief Rep. 2020 Fall;14(4):328-330. doi: 10.1097/ICB.0000000000000720

